Fastbraces® Θεσσαλονίκη - Μακεδονία

Fastbraces® Θεσσαλονίκη - Μακεδονία

fb yt ig

2311 243464 - info@smileline-clinics.gr

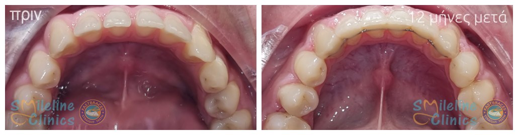
Περιστατικό 78

Περιστατικό 78

Περιστατικό 78Περιστατικό 78Περιστατικό 78Περιστατικό 78Περιστατικό 78Περιστατικό 78
Smileline Clinics & Fastbraces®

2311 243464 - info@smileline-clinics.gr

Αγγελάκη 17, Θεσσαλονίκη, T.K. 54621

Επικοινωνήστε μαζί μας


Όλα τα πεδία είναι υποχρεωτικά

Fastbraces® Senior Master

Ακολουθήστε μας στο Facebook

Παρέχουμε ορθοδοντική αξιολόγηση Fastbraces® για όλα τα μέλη της σελίδας μας στο Facebook και σας προσκαλούμε στα Smileline Clinics & Fastbraces®.

fb Facebook